Featured Answer: Why is a front tooth implant more complex?
The esthetic zone requires precise control of gum contours, implant position, and crown design. With careful planning and execution, an implant can look and function like a natural tooth—without reshaping the neighbors as a bridge would.
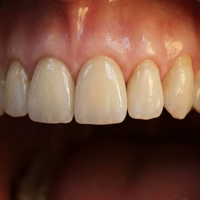
Losing a front tooth is one of the most emotionally challenging dental experiences a person can face. Whether the tooth was lost to trauma, decay, or a failed root canal, the gap in the smile zone affects confidence, speech, and self-image. For patients in Marlborough, MA and throughout the MetroWest region, Dr. Ambereen Fatima at Innova Smiles combines surgical precision with artistic vision to deliver front tooth implants that look completely natural.
Challenges in the Esthetic Zone
- Tissue biotype and gum scallop
- Smile line and incisal edge position
- Emergence profile for natural light reflection
The front teeth are the most visible part of your smile, and even small imperfections in gum symmetry, crown shade, or tooth proportions are immediately noticeable. Unlike a back tooth implant where function is the primary concern, a front tooth implant must achieve a result that blends seamlessly with your natural teeth. This demands meticulous attention to the surrounding soft tissue, the angle and depth of the implant, and the design of the final crown.
Why Implants Are Superior to Bridges (Front Teeth)
- Preserve adjacent teeth
- Support soft tissue architecture and bone
- Excellent long‑term function and hygiene access
A traditional bridge requires grinding down the two teeth on either side of the gap to serve as anchors. In the front of the mouth, these are often healthy, undamaged teeth. An implant eliminates this compromise entirely, preserving your natural tooth structure while providing a standalone replacement that functions independently. Research in the Clinical Oral Implants Research journal confirms that over time, the implant also maintains bone volume in the jaw, preventing the subtle facial changes that occur when bone resorbs after tooth loss.
Temporary Options During Healing
Since front tooth replacement is visible from day one, patients need an esthetic temporary solution during the healing period. Common options include:
- Flipper (removable partial) — A lightweight, affordable appliance that fills the gap cosmetically but is not designed for heavy chewing
- Essix retainer — A clear retainer with a prosthetic tooth bonded in, offering a discreet temporary solution
- Immediate provisional crown — In select cases, a temporary crown can be placed on the implant the same day as surgery, providing an instant cosmetic result while the implant integrates
Dr. Fatima discusses each option during your consultation to determine which temporary approach best suits your anatomy and healing timeline.
Process and Timeline
Evaluation with imaging, site preparation (with grafting if indicated), implant placement, healing, and a custom abutment/crown tailored to your smile. Here is a typical timeline for a front tooth implant:
- Consultation and imaging (Week 1) — CBCT scan, photographs, and treatment planning at our Marlborough office
- Site preparation, if needed (Weeks 2–12) — Bone grafting or soft tissue augmentation to create an ideal foundation
- Implant placement (Day of surgery) — The titanium post is placed into the jawbone under local anesthesia, with sedation available if desired
- Osseointegration (3–6 months) — The implant fuses with the bone while you wear your temporary restoration
- Custom abutment and crown (Final appointment) — A custom-milled abutment and porcelain crown are designed to match the shape, shade, and translucency of your natural teeth
The entire process typically takes four to eight months from start to finish, depending on whether bone grafting is required. Patients from Sudbury, Framingham, and nearby communities appreciate that most appointments are spaced weeks apart, minimizing disruption to their daily routines.
Material Choices for Front Tooth Crowns
The crown placed on a front tooth implant is typically made from all-ceramic or zirconia materials. These materials offer:
- Natural translucency that mimics the way light passes through a real tooth
- Excellent color stability that resists staining over time
- Biocompatibility with surrounding gum tissue, supporting healthy pink tissue contours
For more on how implant material selection affects your outcome, see our guide on titanium vs. zirconia implants.
Success Rates
According to the American Academy of Implant Dentistry, front tooth implants have a success rate of approximately 95 to 98 percent when placed by an experienced clinician using guided planning protocols. The key factors that influence success include adequate bone volume, healthy gum tissue, and a well-designed prosthetic that distributes biting forces appropriately.
E‑E‑A‑T: Dr. Fatima’s FAAIP prosthodontic fellowship and FICOI surgical training support the nuanced planning required for a seamless esthetic outcome.
Internal Links
- Learn about implant options → Dental Implants
- Explore cosmetic enhancements → Veneers
- Questions or to start → Contact Innova Smiles
Ready to replace a front tooth with confidence? Call (508) 481‑0110 or request a consultation.
Related Articles
- Dental Implant vs. Bridge: Best Solution for Missing Teeth
- Guided Implant Surgery: CBCT Precision and Safety
- Dental Implant Recovery: Day-by-Day Timeline




